立即注册找回密码

QQ登录

只需一步,快速开始

微信登录

微信扫一扫,快速登录

搜索
小桔灯网 门户 资讯中心 产品杂谈 查看内容

乐为生医--寡核苷酸偶联试剂盒说明书

2024-5-23 10:57| 编辑: mango524| 查看: 1517| 评论: 0|来源: 乐为生医|作者:净姐

摘要: 高效、简便的寡核苷酸偶联试剂盒应用于抗体、多肽等偶联

寡核苷酸偶联试剂盒

1.产品概述

寡核苷酸偶联试剂盒可高效的生成寡核苷酸偶联抗体,本试剂盒使用的生物偶联试剂含有具有反应活性的末端,可与含有氨基的抗体、蛋白、多肽或氨基修饰的寡核苷酸进行偶联反应。该试剂盒包括阳性对照允许用户确认偶联反应是否正常工作,可用于抗体与 20-120 的单链寡核苷酸或双链寡核苷酸偶联,偶联使用的寡核苷酸应包含氨基修饰的末端。

规格1次份试剂盒内包含1对抗体的标记所需要的活化剂及阳性对照抗体和阳性对照寡核苷酸,货号LW-AOC-001。

规格 3次份试剂盒包含3对抗体的标记所需要的活化剂以及阳性对照抗体和阳性对照寡核苷酸,货号LW-AOC-003。

在偶联化学反应中,寡核苷酸的和抗体的浓度及缓冲液方法需符合特定参数,详见本说明书。

2.试剂盒提供的材料和保存方法

收到试剂盒后,立即将试剂组分及耗材置于标注的温度条件下保存。

自备设备:台式常温高速离心机,适配1.5ml或者2ml离心管、超微量分光光度计。

自备试剂耗材:脱盐柱,寡核苷酸纯化试剂盒,超滤管,0.2ml、1.5ml和2ml离心管,PBS等。

3.技术注意事项

3.1寡核苷酸预偶联注意事项

该试剂盒可用于单链或双链寡核苷酸的偶联,单链偶联长度在20-120个碱基范围内,并且寡核苷酸的末端有一个氨基的修饰。5`位末端氨基修饰的寡核苷酸的偶联效率略高于3`末端。双链寡核苷酸的长度可达90个碱基,但只有一端是氨基修饰。

寡核苷酸在超纯水中或者是缓冲液B中溶解,建议使用超纯水溶解,浓度范围在50-200μM。如果寡核苷酸的浓度高于200μM,建议用超纯水稀释。

3.2 抗体预偶联注意事项

试剂盒提供的抗体的浓度范围在1-10mg/ml,抗体浓度不应低于1mg/ml,如果抗体浓度偏高建议稀释到合适的浓度范围。为了得到最理想的结果,建议抗体的缓冲液为水或者是PBS中,如果含有防腐剂、甘油等保护液建议进行缓冲液置换。

4.实验步骤:

4.1活化试剂预处理

将缓冲液A、缓冲液B和缓冲液C平衡至室温,缓冲液A在4℃会凝固,需在室温溶解后使用。在涡旋震荡器上震荡2-5秒,充分混匀后,在掌上离心机上,短暂离心,备用。

4.2.寡核苷酸的活化与纯化

寡核苷酸活化,将合成的寡核苷酸用超纯水溶解成0.1-0.2mM,取10μl的寡核苷酸加入2μl稀释后的寡核苷酸活化剂,2μl的缓冲液A,10μl的缓冲液B,震荡混匀并短暂离心,室温避光孵育2小时。(此等待过程可进行步骤4.3中的操作)。

注:此步骤可等体积放大反应体系一倍。

阳性对照寡核苷酸组:取10μl阳性对照寡核苷酸加入2μl寡核苷酸活化剂,加入2μl缓冲液A,10μl缓冲液B,震荡混匀,短暂离心后避光孵育2小时。

本试剂盒提供的阳性寡核苷酸浓度约0.2mM,长度为50bp。

活化寡核苷酸的纯化去除未结合的活化剂。

4.3 抗体的活化与纯化

抗体活化反应体系:将抗体用缓冲液B调整到浓度约1-10mg/ml,取100μg的抗体加入2μl抗体活化剂,充分震荡混匀并短暂离心,室温避光孵育1小时。

阳性对照抗体活化:取出6μl阳性对照样品加入4μl缓冲液C加入1μl抗体活化剂,震荡混匀后,短暂离心,室温避光孵育1小时。

本试剂盒提供的阳性抗体浓度约10mg/ml,摩尔浓度约6.7μM。

活化抗体的纯化去除未结合的活化剂。

4.4抗体与寡核苷酸偶联与纯化

活化抗体与寡核苷酸的偶联反应

将纯化的抗体与纯化后寡核苷酸按照一定的摩尔比混合,可适当添加缓冲液C,调整反应总体积及抗体的浓度便于后续的检测。4℃避光反应12-16小时。

例如纯化后阳性对照抗体浓度1mg/ml,摩尔浓度6.7μM,阳性寡核苷酸浓度360ng/μl,摩尔浓度25μM;阳性抗体与阳性寡核苷酸按照1:5的摩尔比进行偶联反应,偶联抗体重量10μg,活化阳性抗体体积10μl阳性加入寡核苷酸13.4μl,加入一定量缓冲液C使活化抗体浓度在0.2-0.5 mg/ml范围。

4.5偶联产物纯化去及保存

使用合适的纯化方法去除未结合的游离寡核苷酸。

寡核苷酸偶联抗体的长期稳定性取决于多个因素,包括抗体和寡核苷酸本身、保存温度和保存条件。若短期使用建议在超滤缓冲液中-20摄氏度保存,如果长期使用及后续实验不受干扰,可在50%甘油条件下保存。

偶联反应剩余的活化寡核苷酸和活化抗体可-20℃保存一个月。

5 寡核苷酸偶联抗体的分析

寡核苷酸偶联抗体的效果可通过凝胶电泳直观检验。

5.1 准备2-5ug偶联抗体(超滤前或超滤后均可)与等量未偶联抗体(作为对照),加入4x非还原型凝胶上样缓冲液(非试剂盒内提供)混合,并在100℃下加热10分钟。

5.2 样本冷却后,上样至SDS-PAGE凝胶上,推荐使用4%-20%的梯度凝胶,以便取得最佳结果。在凝胶电泳结束后用考马斯亮蓝染色剂染色并脱色,脱色结束后再用EB染色。分析凝胶中是否存在寡核苷酸偶联抗体,及寡核苷酸去除效果。

实验示例分享

下图为每个孔内加入2ug偶联抗体,寡核苷酸偶联后非还原SDS-PAGE:


上图为EB成像结果,下图为考马斯亮蓝成像结果;

条带1:蛋白marker

条带2:抗体与oligo摩尔比为1:1

条带3:抗体与oligo摩尔比为1:2

条带4:抗体与oligo摩尔比为1:5

条带5:抗体与oligo摩尔比为1:10

条带6:未活化抗体

条带7:活化的抗体

结果显示:寡核苷酸摩尔比越高,结合抗体的量就会越多,抗体与寡核苷酸摩尔比达到1:5,显示几乎所有抗体均与寡核苷酸结合。


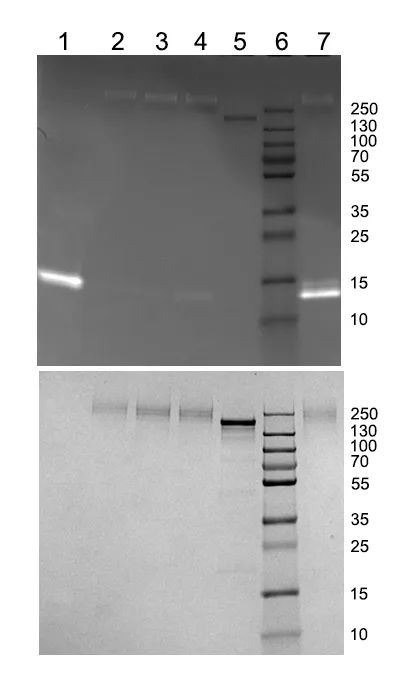
偶联后,通过游离寡核苷酸去除条件摸索:下图为每个孔内加入1.5ug偶联抗体,偶联后非还原SDS-PAGE凝胶电泳:

条带1:活化的寡核苷酸

条带2:偶联产物超滤纯化12次

条带3:偶联产物超滤纯化7次

条带4:偶联产物超滤纯化3次

条带5:未活化的抗体

条带6:marker

条带7:偶联产物未纯化

结果显示:超纯化滤3次即可有效去除大量游离寡核苷酸,超滤次数增加寡核苷酸去除效果更好。

注:连接到寡核苷酸上的抗体链的染色效率没有未标记抗体链高。因此应对凝胶图进行定性分析,而非定量分析。


技术支持联系电话:18611591243

销售联系方式:19957893538

声明:
1、凡本网注明“来源:小桔灯网”的所有作品,均为本网合法拥有版权或有权使用的作品,转载需联系授权。
2、凡本网注明“来源:XXX(非小桔灯网)”的作品,均转载自其它媒体,转载目的在于传递更多信息,并不代表本网赞同其观点和对其真实性负责。其版权归原作者所有,如有侵权请联系删除。
3、所有再转载者需自行获得原作者授权并注明来源。

最新评论

关闭

官方推荐 上一条 /3 下一条

客服中心 搜索 洽谈合作
返回顶部