立即注册找回密码

QQ登录

只需一步,快速开始

微信登录

微信扫一扫,快速登录

搜索
小桔灯网 门户 资讯中心 检验前沿 查看内容

原发灶不明的转移癌的诊断和治疗

2014-9-17 18:11| 编辑: 小桔灯网| 查看: 1617| 评论: 0|来源: 丁香园

摘要: 原发灶不明的转移癌是一类经详细检查后肿瘤原发部位仍不清楚的异质性肿瘤。精密影像学检查,免疫组化检测和分子分析工具的出现影响了我们对原发灶不明的转移癌的认识,同时也使该疾病的定义变得更加模糊。在这个治疗 ...

原发灶不明的转移癌是一类经详细检查后肿瘤原发部位仍不清楚的异质性肿瘤。精密影像学检查,免疫组化检测和分子分析工具的出现影响了我们对原发灶不明的转移癌的认识,同时也使该疾病的定义变得更加模糊。在这个治疗策略个体化的时代,原发灶不明的转移癌既是机遇,又是挑战。

过去的四十年里,我们对于原发灶不明的转移癌的认识有了重大转变。首先,影像学技术的进步使我们对原发灶不明的转移癌的诊断变得更为自信。再者,组织病理结果,扩散类型和血清标志物能够区分出一些预后明显良好的原发灶不明的转移癌亚群。最后,随着新的免疫组化标志物的出现和诊断性病理检查的进步,我们可以根据肿瘤的免疫组化的类型确定其组织来源,从而假定原发灶不明的转移癌的原发灶。另外,最新研究主要是蛋白质组学和基因组学在原发灶不明的转移癌中的应用。

原发灶不明的转移癌一度被视为特殊类型的肿瘤,人们假设,无论其来源是什么,原发灶不明的转移癌的生物学特性相同,临床都表现为快速进展和播散。

来自德克萨斯大学的 Gauri R. Varadhachary 博士在新英格兰医学杂志上发表了一篇综述,回顾了过去三十年中所有 II 期实验性试验的研究结果,目的是在假设临床表现的差异对治疗方案或生存没有重大影响的前提下,探索出有效的适用于所有原发灶不明的转移癌的标准化疗方案。

随着对肿瘤生物学特异性的了解加深,我们对原发灶不明的转移癌的认知也有了变化。人们现在认为,原发灶不明的转移癌的特征与其假定来源肿瘤相同,采用已知肿瘤的处理方案治疗某些原发灶不明的转移癌的亚型能够获益。原发灶不明的转移癌甚至可以作为根据患者基因突变选择个性化治疗的标志。

还不清楚有哪些生物学事件可以导至无法确定转移癌的原发部位。研究发现原发灶不明的转移癌中出现的染色体异常,微血管密度,非整倍体和基因过表达都不具有特异性。一项研究通过基因测序发现原发灶不明的转移癌患突变率很低(18%),磷脂酰肌醇 3- 激酶,PI3K-AKT 通路,MEK 途径,受体及下游效应分子突变分析也并未发现新的突变。此外,要开展临床试验证实原发灶不明的转移癌与其类似来源的转移性疾病临床表征相同也存在很大的障碍。

临床评估

CT 扫描国家综合肿瘤中心和国家健康机构临床影像学指南推荐,在没有禁忌症的情况下,基线胸部、腹部、骨盆增强电脑断层扫描(CT)是原发灶不明的转移癌的检查标准。目前,表现为孤立腋窝淋巴结腺癌病变的妇女如果乳房 X 光和超声的检查结果均为阴性,应进行乳房磁共振成像(MRI)检查。MRI 检查没有发现乳腺肿块的患者乳房切除术发现肿瘤的概率极低。有创检查如纤支镜,胃镜,肠镜等仅适用于有临床症状且影像学和病理异常能够提示肿瘤来源的患者,无临床症状,临床和病理学未见异常的患者不适合使用有创检查以确定肿瘤来源。 PET-CT 检查肾功能不全或不能摄碘的患者可使用正电子发射断层造影(PET)-CT 或 MRI 检查。 目前 PET-CT 仅限于发生颈部鳞状细胞性淋巴结病变的不明来源的颈部肿瘤患者,PET-CT 有利于引导活检,确定病变范围,制定放疗计划以及监测疾病。这类患者也可以选择内镜检查(直接和间接喉镜,支气管镜和胃镜)和双侧扁桃体切除术。PET-CT 的作用尚不清楚,一些小型研究评价了 PET 在原发灶不明的转移癌患者中的应用。 Moller 等人回顾了18F- 氟代脱氧葡萄糖(FDG)PET 作为不明来源的颈外肿瘤患者检查手段的四项临床研究(共 152 例患者),这些研究在入选标准,研究设计以及使用 FDG-PET-CT 检查之前诊断检查手段方面存在异质性。FDG-PET-CT能够检测出 39%的不明来源的颈外肿瘤患者的原发部位。检测到的最常见的肿瘤原发部位是肺(约 50%的患者)。荟萃分析显示,FDG-PET-CT 在原发肿瘤原发部位检测方面的灵敏度,特异度和准确度分别为87%,88%和 88%。作者认为 FDG-PET-CT 在识别原发灶不明的颈外肿瘤的原发部位方面有一定的作用。虽然还没有前瞻性研究, PET-CT 扫描可以诊断出仅有单发转移病灶的肿瘤患者,并采用局部治疗,还可以作为主要累及骨的肿瘤患者的随访手段。图 2 显示 PET 扫描在评估小的原发肾癌方面还存在缺陷。
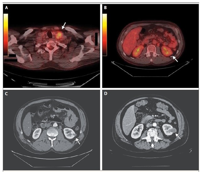
图 2 PET-CT 作为原发灶不明的转移癌的最初的检查手段存在缺陷患者男性,51 岁,有吸烟史,出现颈部淋巴结肿大。左锁骨上淋巴结活检发现转低分化癌。免疫组化染色显示细胞角蛋白(CK)7,CK20, 突触素,嗜铬粒蛋白,S-100,T 细胞识别的黑色素瘤抗原(MART-1),前列腺特异性抗原,甲状腺转录因子 1(TTF1),抑制素,和甲状腺球蛋白均为阴性,PAR-1,CD10, 和低分子量的角蛋白呈阴性,病理结果无特异性。基线头颈部 PET-CT 扫描发现颈部多个高代谢结节(图 A,箭头)。PET-CT 检查并没有发现肾脏原发癌,回顾性研究则发现肾脏有一小病灶(图 B,箭头)。肾癌倾向的原发灶不明的转移癌患者给予紫杉醇和卡铂化疗。化疗后病人疾病轻度进展。患者进行组织来源分子分析提示肾癌来源。淋巴组织肾特异性免疫组化检测表明,PAX-8, CD10,上皮细胞膜抗原,和波形蛋白阳性 - 结果与普通转移性肾细胞癌一致。增强 CT 扫描发现左肾下极有一个肿块(1.0~1.2 CM) (图 C,箭头)。患者随后给予靶向治疗药物,包括依维莫司, 阿西替尼,帕唑帕尼。最初患者获得部分缓解,随后疾病进展,累及淋巴结,肝,骨和肾(图 D,箭头)。该病人没有诊断为原发灶不明的转移癌,而是转移性肾细胞癌。然而,即使诊断正确,大多数晚期肾癌患者的疗效较差。

即使今天的影像学技术已经非常成熟,仍不能检测到一些小的原发肿瘤,将来,技术的进步可能揭示出更多原发灶不明的转移癌的原发部位。

血清肿瘤标记物

人们通常认为肿瘤标志物不能作为诊断依据,且腺癌的标记物也存在相当大的差异。癌胚抗原或肿瘤抗原125,19-9,27.29 的升高是非特异性的,不能确定肿瘤的原发部位。临床表现为腺癌和成骨转移的男性患者,推荐进行前列腺特异性抗原(PSA)检查。肿瘤未分化或低分化的男性患者人绒毛膜促性腺激素(HCG)β亚基和甲胎蛋白的水平升高提示可能存在性腺外生殖细胞肿瘤(睾丸)。甲胎蛋白对于肝癌的诊断也有一定价值。虽然肿瘤标志物对于原发肿瘤的诊断并不十分有效,但它们可以监测患者对治疗的反应。

病理特征和分子分析

一般情况

大多数原发灶不明的转移癌患者的病理结果比影像学检测更有价值。通过关键活检手段充分获取组织样本以及临床肿瘤医生和病理专家之间进行良好的沟通是必不可少的。大多数 II 期临床试验将原发灶不明的转移癌的定义局限于上皮癌,它们排除了表现为转移性淋巴瘤、黑色素瘤和肉瘤的患者。然而在实践中,我们做原发灶不明的转移癌的鉴别诊断时,必须把非上皮性肿瘤也考虑进去。

光学显微镜

光学显微镜显示,原发灶不明的转移癌中高分化和中分化腺癌占 60%,低分化腺癌占 30%,低分化或者未分化的恶性肿瘤占 5%,鳞状细胞癌约为 5%。在极少数的情况下,原发灶不明的转移癌表现为神经内分泌癌或混合瘤,包括肉瘤,基底细胞和腺鳞癌。

免疫组化检测

免疫组化检测在原发灶不明的转移癌中的应用是基于转移肿瘤与原发肿瘤的分子表型一致的前提。免疫组化检测通过氧化物酶标记的抗体与特异性肿瘤抗原发生反应,从而提示肿瘤细胞系,并且能够建立大多数肿瘤细胞系谱(癌,淋巴瘤, 肉瘤,黑色素瘤等)。

大多数研究者认为采用免疫组化检测的方法假设肿瘤的来源,有帮助区分预后良好的肿瘤,并为患者制定合适的诊疗计划。虽然个别免疫组化检测的特异性和灵敏度有限(PSA 检查例外),与强烈提示特异性肿瘤的分子类型进行比较和归类能够提高它的诊断价值。例如,有回顾性报道称甲状腺转录因子 1(TTF1)阳性,细胞角蛋白 7(CK7)阳性表型和细胞角蛋白 20 阳性,同源蛋白 CDX-2 阳性和 CK7 阴性表型分别提示提示肺和下消化道肿瘤,虽然尚未有前瞻性试验验证它们在原发灶不明的转移癌中的提示作用。光学显微镜和免疫组化检测能够假定 25%的原发灶不明的转移癌的来源,而其余的病例中免疫组化的结果是非特异性的。目前,我们缺乏统一而标准的分子免疫印迹方法。免疫组化检测其他的不足包括:影响组织抗原性的因素,观察者之间理解的差异性,组织的异质性和不完整性。最重要的是,基于免疫组化检测的治疗在原发灶不明的转移癌中的临床疗效还没有得到充分证实。一个回顾性研究显示,消化道肿瘤治疗方案用于治疗 CDX-2 阳性患者生存期超过 30 个月,但未来仍须开展前瞻性临床试验验证根据免疫组化结果假定肿瘤来源制定治疗方案的临床疗效。根据免疫组化检测结果进行鉴别诊断能够促进具有潜在疗效以及探索新靶点的生物标志物的研究,有助于原发灶不明的转移癌患者入组一些早期生物标志物的研究。

组织来源的分子谱

采用 DNA 微阵列或量化实时聚合酶链反应(RT-PCR)分析已知肿瘤的基因发现,转移肿瘤的分子特征与原发肿瘤一致。基于这样的前提,我们假设组织来源分子谱分析可以用于原发灶不明的转移癌。组织来源分子谱分析在已知肿瘤中的作用已得到证实,通过对不同类型的肿瘤样品进行独立的盲法评估,准确度高达 90%。临床上,既可以通过小型核针获取福尔马林固定的样品,也可以通过细针抽吸获取样本进行分子谱检测。前瞻性和回顾性临床试验对原发灶不明的转移癌患者的信使 RNA 和微小 RNA 都进行了分子分析,验证该分子分析准确度的最大问题是,原发灶不明的转移癌的定义不明确。因此,目前组织来源检测的精确度估计主要根据一些间接参数,包括与免疫组化检测,临床表现和原发位点潜在疾病的表现进行比较。通过这些方法,分子谱分析能够确定这些实验中约 70% 的患者的可靠的肿瘤来源。其余的病人存在以下问题,结果与鉴别诊断明显不符合,尽管重复活检(骨样本)仍无法充分获取样本或分析结果无法确定其肿瘤来源。目前,只有一项基于临床转归的临床试验,该实验是一项评估 92 个基因分析用于指导原发灶不明的转移癌患者的原发位点特异性治疗的前瞻性,单组研究。研究者发现,与以前试验中接受经验性治疗的患者相比,接受分子分析指导的原发位点特异性治疗的患者中位总生存期达 12.5 个月。然而考虑到该试验的非随机设计,统计偏倚,混淆变量,后续进行的经验型治疗和原发灶不明的转移癌非均一性,并不能进一步确认其临床获益。

如果没有随机对照试验,很难对组织来源分子谱测定的临床疗效进行评估。迫切需要设计临床试验以研究原发灶不明的转移癌的亚型,并评估这些分子检测方法对患者的生存和生活质量的影响。

两项原发灶不明的转移癌的前瞻性双盲研究显示,组织来源分子谱分析的成本效益高于免疫组化。通过与已知原发癌的病理特征进行比较定义准确度。一项研究显示,分子谱分析区分肿瘤的精确度为 79%,而形态学及免疫组化检测的精确度为 69%(P = 0.02)。另一项研究结果类似,分子分析与免疫组化的准确度分别为 89%和83%(P = 0.01)。33 例低分化或未分化肿瘤亚型中,分子分析的准确率为 91% ,免疫组化检测 71%(P = 0.02)。这些结果对于原发灶不明的转移癌的治疗有重要意义,并证实了一项评估组织来源分子分析用以补充免疫组化检测的研究结果。

基因组时代的治疗

尽管存在异质性,以前大部分原发灶不明的转移癌被视为单个实体瘤,主要采取以铂类为基础的联合化疗。过去二十几年来,人们评估了几种联合治疗的疗效,为原发灶不明的转移癌患者提供了治疗选择。II 期经验性治疗方案研究显示,反应率为 25% 至 35%,生存期为 6 到 16 个月。伴淋巴结,胸膜或腹膜浆液性疾病(14~16 月)的患者比内脏转移患者(6-9 个月)生存期更长。大多数患者出现疾病扩散而无法治愈。其他影响治疗选择的预后因素包括乳酸脱氢酶和白蛋白水平,身体状态和肿瘤病灶的数目。

预后较好的原发灶不明的转移癌亚型主要是指那些能够确定肿瘤来源的类型,这类肿瘤对于基于假设肿瘤来源的治疗反应较好,病人生存期较长且有可能治愈疾病。这些亚型(可能肿瘤来源)包括女性腋下淋巴结腺癌(乳腺癌),颈部淋巴结鳞状细胞癌(头颈癌),女性腹腔乳头状或浆液性肿瘤(卵巢癌)和年轻患者分化较差的中线淋巴结病变(生殖细胞癌),转移性神经内分泌肿瘤以及其他慢性、单发转移。一些医生认为单个腹股沟淋巴结鳞状细胞癌也是一种良性亚型,尽管还需与肛门,泌尿生殖系统,和妇科来源的肿瘤进行鉴别。

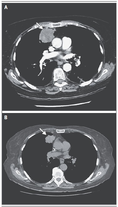
研究病例发现,定义原发灶不明的转移癌的组织来源既带来了希望也提出了挑战(图 3 和图 4)。免疫组化结果能够确定肿瘤来源的患者约占所有原发灶不明的转移癌患者的 25%。例如甲状腺转录因子 1(TTF1)阳性,细胞角蛋白 7(CK7)阳性提示肺癌来源,细胞角蛋白 20 阳性,同源蛋白 CDX-2 阳性和 CK7 阴性提示消化道肿瘤来源,GCDFP ( 多囊肿疾病流体蛋白)-15 阳性或乳腺珠蛋白阳性,CK7 阳性提示乳腺癌来源。一般来说,肿瘤的播散类型支持免疫组化的结果,有时,免疫组化的结果与影像学检查不一致(图 3A 和 3B)。


图 3 评价原发灶不明的转移癌时影像学发现与免疫组化结果不一致患者 77 岁,女性,无吸烟史,肺炎随访时胸部发现肺右上叶一 5.7 厘米的肿块,侵及右中叶和裂隙(图 A,箭头)。取肿块活检发现中分化腺癌,伴同源蛋白质 CDX-2,CK20,癌胚抗原强阳性,CK7 和 TTF1 阴性。病理报告结果提示下消化道肿瘤来源,包括阑尾和结直肠。上消化道内镜检查和结肠镜检查均未见异常。无明确证据提示小肠和阑尾肿瘤来源。术前短期氟尿嘧啶和奥沙利铂化疗后,患者手术切除肺部肿块(图 B,箭头)。术后病理报告结果不变(假设结直肠癌转移),术后按原方案化疗。术后结肠镜检查结果阴性。患者入组微小 RNA 组织来源分子分析临床试验证实结肠肿瘤来源。尽管化疗能否使该类患者获益还未知,临床医生制定治疗方案时应考虑病理结果。结肠癌来源原发灶不明的转移癌最常表现为孤立转移和卵巢转移。
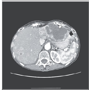
对于另外 75% 的患者,免疫组化结果不能明确其诊断。图 4 显肝脏巨大肿块,影像学提示胆管癌。
图 4 原发灶不明的转移癌与胆管癌的鉴别。由于原发灶不明的转移癌中肝脏受累很常见,与胆道肿瘤的鉴别则显得尤为重要,尤其伴或不伴卫星结节,有大的孤立肝脏肿块的患者。MRI 多相扫描显示延长期强化, 提示胆管癌(箭头处)。免疫组化检测没有诊断价值,应避免做多种分子印迹检测。

这些病例的免疫组化结果往往是非特异性的,而胆管癌通常不认为是原发灶不明的转移癌。免疫组化检测结果非特异性的患者可根据临床病理选择以铂类为基础的方案,也可采取包括组织来源分子分析和新一代测序在内的基因组学研究。许多肿瘤缺乏具体而有效的药物,而且大多数肿瘤的治疗方案也有重叠。然而,随着普通已知肿瘤新的治疗方法的研发,分子诊断工具可能成为原发灶不明的转移癌的基石。

更广泛地说,目前的趋势是使用新一代测序方法确定肿瘤的激活突变,并制定个性化的治疗方案。然而目前,我们做对于肿瘤复杂的信号交联和信号通路缺乏详细了解。

Vemurafenib 是一种靶向 BRAF V600E 突变的药物,在 BRAF 突变的黑色素瘤单药使用有效但对 BRAF 基因突变的大肠癌无效。这个结果表明细胞研究在治疗中的重要作用,而它对于原发灶不明的转移癌的意义也需要进一步评估。虽然原发灶不明的转移癌的治疗进展迅速,在新技术得到验证并广泛应用之前,我们不能忽视一个根本原则,那就是有针对性的临床病理检测的使用和专家的临床判断对于选择最佳的治疗非常关键。

未来的方向

遗憾的是,通过合作研究和新方法探索原发灶不明的转移癌的力度远落后于其他实体肿瘤。由于原发灶不明的转移癌的异质性,传统的前瞻性 III 期随机临床设计要充分回答有关新疗法,免疫组化检测,生物学特征和组织起源分子分析等重要问题很困难。创新性试验的设计,国际合作组织的建立以及基因组学和蛋白质组学技术的应用有助于我们对于原发灶不明的转移癌的研究,扩大患者的治疗选择。下一代测序的成功应用有利于新的分子靶点的发现和针对特异突变的新药的研发,如果该方法有效,那么已知来源肿瘤的治疗方式将同样适用于原发灶不明的转移癌。

 


声明:
1、凡本网注明“来源:小桔灯网”的所有作品,均为本网合法拥有版权或有权使用的作品,转载需联系授权。
2、凡本网注明“来源:XXX(非小桔灯网)”的作品,均转载自其它媒体,转载目的在于传递更多信息,并不代表本网赞同其观点和对其真实性负责。其版权归原作者所有,如有侵权请联系删除。
3、所有再转载者需自行获得原作者授权并注明来源。
发表评论

最新评论

关闭

官方推荐 上一条 /3 下一条

客服中心 搜索 洽谈合作
返回顶部