立即注册找回密码

QQ登录

只需一步,快速开始

微信登录

微信扫一扫,快速登录

搜索
小桔灯网 门户 资讯中心 专栏文章 产品经理 查看内容

【独家】血液病--IVD产品经理初级篇(下)

2016-6-13 00:00| 编辑: 小桔灯网| 查看: 3962| 评论: 0|来源: 小桔灯网 作者:纳兰烙烙

摘要: 一、 如何认识血液病-白细胞疾病 白细胞疾病包括白细胞减少症、粒细胞缺乏症、嗜酸性粒细胞增多症、急性白血病、慢性白血病、骨髓增生异常综合症、恶性淋巴瘤(霍奇金淋巴瘤、非霍奇金淋巴瘤)、传染性单核细胞增多 ...
一、 如何认识血液病-白细胞疾病
       白细胞疾病包括白细胞减少症、粒细胞缺乏症、嗜酸性粒细胞增多症、急性白血病、慢性白血病、骨髓增生异常综合症、恶性淋巴瘤(霍奇金淋巴瘤、非霍奇金淋巴瘤)、传染性单核细胞增多症、恶性组织细胞病、多发性骨髓瘤等。。
       走近血液病-白细胞疾病:

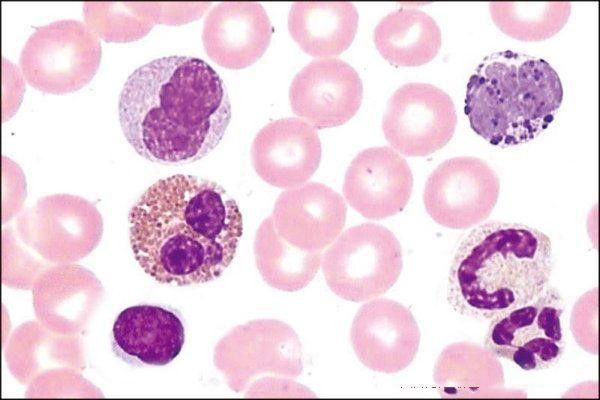
  白细胞是什么?白细胞就是是抵御微生物感染和外来物质侵袭的机体防御系统。白细胞包括:粒细胞(中性粒细胞,嗜酸性粒细胞,嗜碱性粒细胞)、淋巴细胞、单核细胞。
  
  那么,让我们看下白细胞长什么样子
222.jpg

  让我们想象一下,主要功能是自卫和攻击的白细胞,什么状况下保家卫国的能力会下降?白细胞变化了嘛,那么白细胞变化都会有什么样子的变化呢?
  抽丝剥茧一下:
1)白细胞是什么样子的?带颗粒圆形,无杂质。但是如果有杂质呢?  专业术语来说为白细胞形态异常
中性粒细胞
①中毒颗粒(toxicgranules):常见于严重的化脓性感染、大面积烧伤等。
②空泡变性(vacuoles):常见于严重感染,特别是败血症,因粒细胞受损发生脂肪变性所致。
③核变性(degenerationofnucleus):包括核固缩、核溶解、核碎裂等,临床意义同中毒颗粒及空泡变性。
④杜勒体(Dohlebodies):是疾病严重的标志,有时伴中毒颗粒出现。
⑤棒状小体(Auer’sbodies):仅见于白血病细胞中,但在急性淋巴细胞白血病则不出现棒状小体。
⑥Peulger-Huet畸形:即中性粒细胞核分叶不良,是一种常染色体显性遗传性异常,亦可继发于某些严重感染、白血病、骨髓增生异常综合征、肿瘤转移和某些药物治疗后
⑦Jordan异常:即家族性白细胞空泡形成,见于家族性白细胞空泡增多症。
⑧May-Hegglin畸形:即中性粒细胞胞浆内蓝斑形成。可见于猩红热、球菌感染及某些烧伤早期的病例。
淋巴细胞
根据形态特点分为3型:I型(空泡型)、II型(不规则型)、III型(幼稚型)。除以上3型外,尚可有呈浆细胞样或组织细胞样的异形淋巴细胞,见于:
①病毒感染性疾病:如传染性单核细胞增多症、流行性出血热、病毒性肝炎、带状疱疹、流行性腮腺炎、流感、风疹等。
②少数细菌性感染,原虫、螺旋体感染。
③某些免疫性疾病、药物过敏等。

2)白细胞在血液内大多是成熟形态,但是老化过快或者年幼居多呢?
这便是血液病里面红细胞一系乃至整个血细胞的产生之源问题:骨髓。

3)功能推断
通俗的讲,白细胞就是一个国家的军队,它能起到的作用便是国防作用,也就是保家卫国,攘外安内。小编是个历史和军事爱好者,就拿国防来做以下比喻:
军队具有两个功能:1.自卫,2.攻击;
战略具备两个特性:1.中央指挥,2.因时制宜;
战术具备两个特点:1.人海战术,2.个体狙击;
士兵具备两个特征:1.不畏死,2.团队作战;
同样的白细胞在防御系统中也具备了以上的特点和功能。
纵观历史,军队是怎么来的?
太平时代:军队由常规招兵,自然退伍,数量恒定构成,军队的年龄段一直在青年强壮期。
战乱时代:军队由抓壮丁、童兵扩充而来,军队的年龄段一直处于低龄化状态。
青年强壮期一般显示了国力的雄厚,类似汉朝远征匈奴的时代又似秦国铁骑。人体如果处于健康时期,血液内的白细胞应该是成熟(类似人的青壮年期),数量稳定。这也就是为什么白细胞疾病要看血常规白细胞数量以及骨髓图片、、骨髓活检、血涂片要看白细胞成熟度。
低龄化时期一般显示了国力的衰退,类似清末民初军阀战乱时代。人体如果处于疾病时期,血液内的白细胞就会出现幼稚、数量过多或过少、形状畸形等。
军队是怎么管辖的?
太平时代:军队由中央调配,地方管辖,州府训练。
战乱时代:军队由中央管辖,地方混战,州府瘫痪。
当军队出现正常的管辖时,会出现以下特点:
1.老兵熟练,作战成熟;体现在人体就是防御一切外来侵扰,保证机体正常;
2.编制整齐,作战协调;体现在人体就是防御系统有条不紊,机体不受感染困扰;
3.自我识别,张弛有力;体现在人体就是不存在自相残杀的现象(自身免疫性疾病);
当军队出现混乱的管辖甚至混战时,会出现以下特点:
1.内耗不断,国力空虚;体现在人体就是虚弱,抵抗力低下;
2.自相残杀,不分主次;体现在人体就是组织、器官长期被攻击导至异形变;
3.盲目扩张,资源消耗;体现在人体就是血管阻塞,组织、器官异常肿大;
4.尸横遍野,血流千里;体现在人体就是血管内容物大量降低,组织、器官快速衰竭;
以上是总的来说白细胞在人体中充当的角色以及可以引起的相关症状。

二、白细胞疾病的分类
让我们看下白细胞疾病的种类有多少种
ü  白细胞减少症:中性粒细胞减少症和粒细胞缺乏症;
ü  急性白血病:急性髓系白血病(急性非淋白血病)和急性淋巴细胞白血病,浆细胞白血病,肥大细胞白血病,嗜酸粒细胞白血病,中枢神经系统白血病;
ü  慢性白血病:慢性粒细胞白血病和慢性淋巴细胞白血病,多毛细胞白血病,幼淋细胞白血病,大颗粒淋巴白血病;
ü  类白血病反应
ü  传染性单核细胞增多症
ü  特发性嗜酸粒细胞增多综合征
ü  骨髓增生异常综合症

通常所指的白血病如下:
急性白血病
发病急,骨髓和外周血中主要是原始细胞,若不治疗病人常于半年内死亡。根据白血病细胞的类型,临床上又分为急性淋巴细胞性白血病(ALL)和急性非淋巴细胞性白血病(ANLL)两大类,每类又有几型。目前国内外通用的分型如下:
①ANLL分为8型,急性髓性白血病微分化型(M0)、粒细胞白血病未分化型(M1)、 粒细胞白血病部分分化型 (M2)、 早幼粒细胞型(M3)、粒-单核细胞型(M4)、单核细胞型(M5)、红白血病(M6)、巨核细胞型(M7);
②ALL分为L1 、L2和L3型,近年来又根据细胞的免疫学特点分为T、 B、前B、普通型和未分化型。

慢性白血病
①  慢性粒细胞白血病
②  慢性林白细胞白血病
③少见类型白血病

三、 市场对于白细胞疾病的诊断
       欲了解血液病的运作,必然要知道血液病当前存在的检测手段和配套的依据。
       血液病最重要的依据便是WHO提出的MICM诊断准则。根据方法学分类为
1. M 即FAB分型。
2. I 根据血液病细胞表面免疫学标志进行的分型。
3. C 血液病病常伴有染色体改变。
4. M 染色体改变伴有基因特异变化。
FAB分型主要用于细胞形态学的分类,主要的检测手段为骨髓涂片、血涂片、骨髓穿刺。
免疫学标志分型主要用于血液病表面分型,主要的检测手段为流式细胞法(BD公司的最好)
血液病染色体改变技基因变化主要用于染色体异变分析,主要检测手段为FISH,PCR,手工法染色体550带高清分析。

我们以通常意义的白血病诊断MO-M4为例子来描述一下MICM诊断
1.急性髓性白血病微分化型(M0)
M:骨髓中原始细胞≥90%(NEC),胞浆大多透亮或中毒嗜碱,无嗜天青颗粒和Auer小体。MPO、SSB、萘酚ASD氯乙酸酯酶阳性率<3%,NSE阴性或弱阳性。
I:至少表达CD13,CD33,CD17至少之一,MPO+,cCD22、cCD79a,cCD3均阴性。
CM:常见复杂核型,+13,+18,+4,-7,多数病例IgH、TCR链基因成种系构型。

2.粒细胞白血病未分化型(M1)
M:骨髓中原始细胞≥90%(NEC),胞浆中可无或少量嗜天青颗粒和Auer小体。MPO和SSB阳性≥3%。
I:至少表达CD13,CD33,CD17和MPO至少两种,常见CD34+,cCD20、cCD79a,cCD3均阴性。
CM:无特异重现性染色体异常。

3.粒细胞白血病部分分化型 (M2)
M:血或骨髓中原始细胞≥20%(NEC),不同成熟阶段的中性粒细胞≥10%,单核细胞<20%,胞浆中可无或少量嗜天青颗粒,常见Auer小体。无AML伴inv(16)的嗜酸粒细胞形态和细胞化异常特征,嗜碱粒细胞和(或)肥大细胞有时亦增多。
I:至少表达CD13,CD33,CD15至少一种,CD117,CD34,HLA-Dr亦可阳性。
CM:可有12p11-13的缺失或异位或t(6;9)(p23;q34);常伴嗜红细胞增多。有时出现t(8;21)(q22;q22)。

4.早幼粒细胞型(M3)又称为APL白血病
M:原始细胞为异常早幼粒细胞,核不规则,常为肾形或双叶形,常见Auer小体有时呈束状。MPO强阳性,25%患者NSE弱阳性。
I:至少表达CD13,CD33,CD34,HLA-Dr常阴性,CD15-弱阳性,CD2,CD9阳性。
CM:常出现t(15;17)(q22;q12)异常伴随PML-RARA融合基因,t(11;17)(q23;q21)异常伴随PLZF-RARA融合基因或t(11;17)(q13;q21)异常伴随NuMA-RARA融合基因,t(5;17)(q23;q21)异常伴随NPM-RARA融合基因。

5.粒-单核细胞型(M4)
M:呈粒细胞、单核细胞两系增生,骨髓中原始细胞≥20%,血中单核细胞常≥5X109/L。原始细胞MPO阳性>3%, NSE阳性。
I:可表达CD4,CD11b,CD11c,CD13,CD14,CD33,CD36,CD64和溶菌酶,CD34亦可阳性。
CM:常出现11q23或inv(16)异常。

四、 白细胞疾病市场机遇分析
       血液病的客户大多分为两类,一是专业血液病医生但是临床经验不足,一是由老年科、肾内科、风湿免疫科合并而来的血液病医生。
       客户如何看待血液病的?
一般客户看待血液病分两类,一类是不求甚解只求效率,一类是但求奇特不求平庸。
那么你要做的是如何让不求甚解的人更效率准确而无后顾之忧,让不甘平庸的人如何发现有绝对实用性论文价值的案例。
  小编从事血液病推广工作断断续续大概有五年的时间,大学的导师恰好是血液病的方向,对血液也算是有六七年的认识,希望能对刚入门的产品经理有所帮助。

 
声明:
1、凡本网注明“来源:小桔灯网”的所有作品,均为本网合法拥有版权或有权使用的作品,转载需联系授权。
2、凡本网注明“来源:XXX(非小桔灯网)”的作品,均转载自其它媒体,转载目的在于传递更多信息,并不代表本网赞同其观点和对其真实性负责。其版权归原作者所有,如有侵权请联系删除。
3、所有再转载者需自行获得原作者授权并注明来源。

最新评论

关闭

官方推荐 上一条 /3 下一条

客服中心 搜索 洽谈合作
返回顶部