立即注册找回密码

QQ登录

只需一步,快速开始

微信登录

微信扫一扫,快速登录

搜索
小桔灯网 门户 资讯中心 新品前瞻 查看内容

重磅 | 中国首个PD-L1检测试剂盒获批上市!

2019-9-2 15:56| 编辑: 面气灵| 查看: 12412| 评论: 0|来源: Medialliance

摘要: ▲2019年8月30日进口批件发布通知(来源:NMPA)2019年8月30日,NMPA对外发布准产批件通知。通知显示:Dako North America(代理人:安捷伦科技(中国)有限公司)的“PD-L1检测试剂盒(免疫组织化学法)”正式获批 ...



▲2019年8月30日进口批件发布通知(来源:NMPA)

2019年8月30日,NMPA对外发布准产批件通知。通知显示:Dako North America(代理人:安捷伦科技(中国)有限公司)的“PD-L1检测试剂盒(免疫组织化学法)”正式获批上市,值得一提的是此款产品系在中国批准上市的首个PD-L1检测试剂盒。

PD-L1检测是目前筛选获益患者金标准

大量研究表明,肿瘤组织样本中PD-L1表达水平越高,则意味着患者更可能从PD-1/PD-L1抑制剂治疗中获益。肿瘤组织PD-L1表达水平评估是目前临床研究、验证和认可度最广泛的PD-1/PD-L1抑制剂疗效预测标志物。而免疫组化方法学是目前临床诊断级别评估肿瘤组织PD-L1表达水平的唯一方法学。目前FDA获批具有代表性的4种PD-1/PD-L1单抗(nivolumab、pembrolizumab、atezolizumab和durvalumab)都有相对应的伴随诊断联合使用,在临床诊疗实践中,到底是应该先选择PD-L1检测方法还是先选择治疗药物?不如,先来看看检测适应症与关联药物的比较:

表1:FDA/CE IVD已获批的4种PD-L1检测汇总(图片取自肿瘤资讯)

从国际上已报道的研究来看,针对以上4种PD-L1表达检测,2017年发布在《Clinical Cancer Research》杂志上的一项研究显示,SP263和22C3、28-8具有较好的一致性,在PD-L1肿瘤细胞膜染色不同阈值(1%、10%、25%和50%)的比较上,三种方法的总体一致率>90%。由国际肺癌研究协会(IASLC)发起的Blue Print 1和Blue Print 2研究显示出相似的结果。相比之下, SP142检测肿瘤细胞PD-L1表达需要更高的阈值,但在免疫细胞的检测上具有更好的敏感性,从最新的研究更新来看,SP142在需要或仅需要评估免疫细胞PD-L1表达水平的适应症上具有显著优势。值得注意的是,VENTANA  PD-L1(SP263)可以同时检测细胞膜和细胞浆中的PD-L1表达,欧盟体外诊断医疗器械(CE IVD)认证批准可同时指导nivolumab、pembrolizumab和durvalumab治疗是目前国际上关联药物最多的检测。

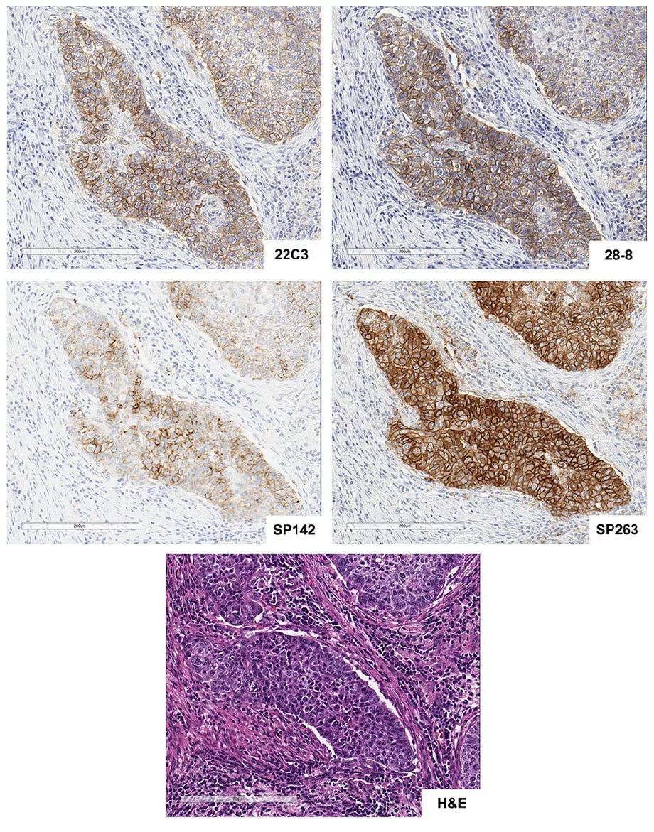
图1:非小细胞肺癌(NSCLC)组织HE染色 (20X) 及4种FDA/CE IVD认证获批PD-L1检测染色图示(20X). Hirsch, Fred R., et al. Journal of Thoracic Oncology12.2 (2017): 208-222.(图片取自肿瘤资讯)

2018年是中国免疫治疗的元年,截止目前,先后5款PD-1单抗类药物先后获批上市(默沙东、BMS、君实、信达、恒瑞医药)但5种PD-1/PD-L1抑制剂临床研究中应用的检测抗体均未在我国获得上市批准,这对于临床医生在制定治疗决策时,如何评估患者从PD-1/PD-L1单抗类药物治疗方案获益情况提出了挑战。目前,克隆号为SP263、SP142和22C3的抗体试剂在我国已进入注册申请过程,其中部分申报产品进入优先审查程序。

▲进入优先审评阶段的PD-L1检测试剂盒(整理:Medialliance)

小结

医学进入精准医学时代,精准的诊断尤为重要。随着靶向治疗和免疫治疗的伴随诊断或补充诊断的捆绑式发展,病理科与临床科室的关系变得更为紧密。作为一种伴随诊断必须严格按照要求开展,才能指导临床医生准确用药,使患者获益。由于PD-1/PD-L1抑制剂药价仍较为高昂,临床上应筛选出PD-L1表达水平高(或其他标志物)的患者进行免疫治疗,其疗效获益才能更加明显。而对于补充诊断而言,相应级别明显降低,因此仅供临床参考。多款免疫治疗药物目前已经在中国上市,我们的抗肿瘤新药已经开始和国际接轨,相信PD-L1检测的伴随诊断正式获批上市会造福更多患者。
---End----


声明:
1、凡本网注明“来源:小桔灯网”的所有作品,均为本网合法拥有版权或有权使用的作品,转载需联系授权。
2、凡本网注明“来源:XXX(非小桔灯网)”的作品,均转载自其它媒体,转载目的在于传递更多信息,并不代表本网赞同其观点和对其真实性负责。其版权归原作者所有,如有侵权请联系删除。
3、所有再转载者需自行获得原作者授权并注明来源。

最新评论

关闭

官方推荐 上一条 /3 下一条

客服中心 搜索 洽谈合作
返回顶部