立即注册找回密码

QQ登录

只需一步,快速开始

微信登录

微信扫一扫,快速登录

搜索
小桔灯网 门户 资讯中心 感染诊疗 查看内容

病原宏基因组技术成功用于脑膜炎感染病原诊断

2019-8-22 00:00| 编辑: 面气灵| 查看: 2796| 评论: 0|来源: 锐翌健康

摘要: 导读如今,病原宏基因组技术(mNGS)在临床感染性疾病诊断领域的应用被越来越多的专家认可和接受,尤其是神经系统疾病感染病原的诊断及鉴定,mNGS技术优势正日益凸显。自2014年新英格兰医学期刊刊登了一例mNGS成功用 ...


导读

如今,病原宏基因组技术(mNGS)在临床感染性疾病诊断领域的应用被越来越多的专家认可和接受,尤其是神经系统疾病感染病原的诊断及鉴定,mNGS技术优势正日益凸显。

自2014年新英格兰医学期刊刊登了一例mNGS成功用于脑膜炎感染病原诊断的病例,由此开启了感染性疾病精准诊疗新纪元!


背景

目前临床上可用于病原微生物检测的方法有培养、血清学检查、基于假设验证的PCR技术等,但是受限于这些检测技术的准确性以及脑炎致病病原的多样性,临床上仍有50%以上脑膜炎患者无法明确感染原。在这种情况下,mNGS技术可以无偏倚对所有病原微生物在核酸层面进行检测分析,在发现新的病原体,尤其是病毒方面展示出了巨大潜力。最后结果证实确实如此。


传统检测,未见端倪

患者14岁,男性,患有重症联合免疫缺陷(腺苷脱氨酶缺乏),经过两次单倍体相合骨髓移植手术后,正在经历部分免疫重建。


2012年8月和2013年3月分别于波多黎各和佛罗里达州旅游,回国后入院,起初症状为发烧和头痛,后期检测到脑膜炎,病重时发展为脑积水和癫痫持续状态。

2013年4月初

患者因头痛、发烧,体温持续6天高达39.4℃住院接受治疗,1天后症状缓解出院

2013年4月底

因发烧,畏光和每日额颞部头痛,疲劳增加,腹痛和体重减轻等症状再次入院。入院时体格及MRI结果无显著性差异,传染病筛查结果阴性。考虑到对细菌性脑膜炎怀疑程度低,该患者未接受任何经验性抗菌药物治疗

2013年7月

患者第3次住院,伴有发烧,头痛,弥漫性无力,肌肉萎缩,恶心和呕吐。


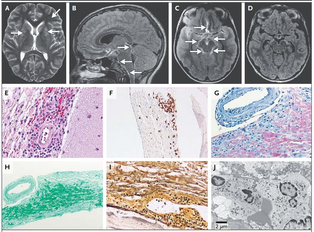
入院时MRI显示双侧基底神经节呈片状、未增强,第13天重复MRI显示基底神经节中的持续高度增强,基底叶钩端脑炎间隔发展至大脑半球。


基于MRI检查结果和缺乏临床改善,入院后2周对右侧额叶进行活检,组织学检查显示炎症性钩端瘤伴肉芽肿浸润。大脑皮层有两个小胶质细胞增生灶。免疫组织化学检测和电子显微镜检查未发现真菌,细菌或病毒


患者患病历程


MRI和组织活检结果


患者6周之内进行了多达38项感染病原筛查,先后联用5种抗生素治疗,未查出病因,并一度陷入药物引起的昏迷状态。


病原宏基因组检测,锁定“真凶”

随后,医生取患者脑脊液和血清样本进行mNGS检测在收到样本48小时内,完成了样本中总核酸提取,建库及测序、分析工作,最后检出钩端螺旋体序列数475条,另外还有一些非致病性定植菌群。


之后通过PCR检测和Sanger测序确认了钩端螺旋体的存在。根据检测结果改用青霉素治疗,7天内患者癫痫持续状态消退,脑脊液正常化,软脑膜炎消退,32天后痊愈出院。


NGS检测流程


NGS检测结果展示


同时也对该患者急性期和恢复期获得的脑脊液和血清样本,进行了包括IgM和IgG抗体测试(ELISA)、直接培养、PCR等检测,最后检测结果均为阴性,表明目前常规的钩端螺旋体病检测方法并不能诊断出该病原体。充分体现了mNGS检测技术与传统检测技术相比,在检测准确性和不明原因感染诊断方面的优势。


钩端螺旋体病是由螺旋体引起的人畜共患病。主要通过粘膜暴露或皮肤破损感染人类。该病的标准诊断试验是检测宿主的血清学反应,通常不能通过常规的米氏镜检测到,也不能用标准培养基进行培养。基于PCR的检测方法一般来说是可行的,但是由于钩端螺旋体物种的多样性和检测方法之间缺乏标准化,导至检测灵敏度有限,较容易出现假阴性情况。


小结

此篇文献首次向大众展示了病原宏基因组检测技术用于临床感染性疾病病原检测的可行性及该技术优异的检测性能。


至今已有相当多研究结果证实mNGS技术可协助临床快速明确神经系统疾病致病病原。除此之外对于血液、肺泡灌洗液、痰液等样本,mNGS技术相对传统检测手段来说大大提高了病原微生物的检出能力。


相信日后病原宏基因组学将与传统方法学优势互补,共同实现病原体的准确鉴定,推动临床感染性疾病的精准诊断。


声明:
1、凡本网注明“来源:小桔灯网”的所有作品,均为本网合法拥有版权或有权使用的作品,转载需联系授权。
2、凡本网注明“来源:XXX(非小桔灯网)”的作品,均转载自其它媒体,转载目的在于传递更多信息,并不代表本网赞同其观点和对其真实性负责。其版权归原作者所有,如有侵权请联系删除。
3、所有再转载者需自行获得原作者授权并注明来源。

最新评论

关闭

官方推荐 上一条 /3 下一条

客服中心 搜索 洽谈合作
返回顶部