立即注册找回密码

QQ登录

只需一步,快速开始

微信登录

微信扫一扫,快速登录

搜索
小桔灯网 门户 资讯中心 感染诊疗 查看内容

精准医学时代对传统病原微生物检测悄然宣战,风头正盛的NGS如何为危重患者诊断带来曙 ...

2019-7-25 23:48| 编辑: 小桔灯网| 查看: 3859| 评论: 0|来源: 呼吸界

摘要: 推荐语随着基因测序技术高速发展,NGS(二代基因测序)成了医疗领域的热词,尤其在感染性疾病的诊疗中风头正盛——传统病原微生物检测速度相对较慢,如果患者情况危急,这种新技术能为患者多搏一线生机?本文中提到 ...

推荐语

随着基因测序技术高速发展,NGS(二代基因测序)成了医疗领域的热词,尤其在感染性疾病的诊疗中风头正盛——传统病原微生物检测速度相对较慢,如果患者情况危急,这种新技术能为患者多搏一线生机?本文中提到两个病例,老年患者症状来势汹汹,但病因难寻,诊疗举步维艰,怎么办?


病例 1

 

男性,70岁,「头痛伴嗜睡2周,高热、意识障碍4小时余」入院,病程中症状进行性加重,无喷射性呕吐,无咳嗽咳痰,发热最高达39℃,不伴畏寒寒战。


查体:T 38.1℃,意识模糊,右侧定向凝视,颈项强直,双肺呼吸音粗,心率93次/分,四肢肌张力增高,克氏征和布氏征(+),双侧巴氏征可疑阳性。


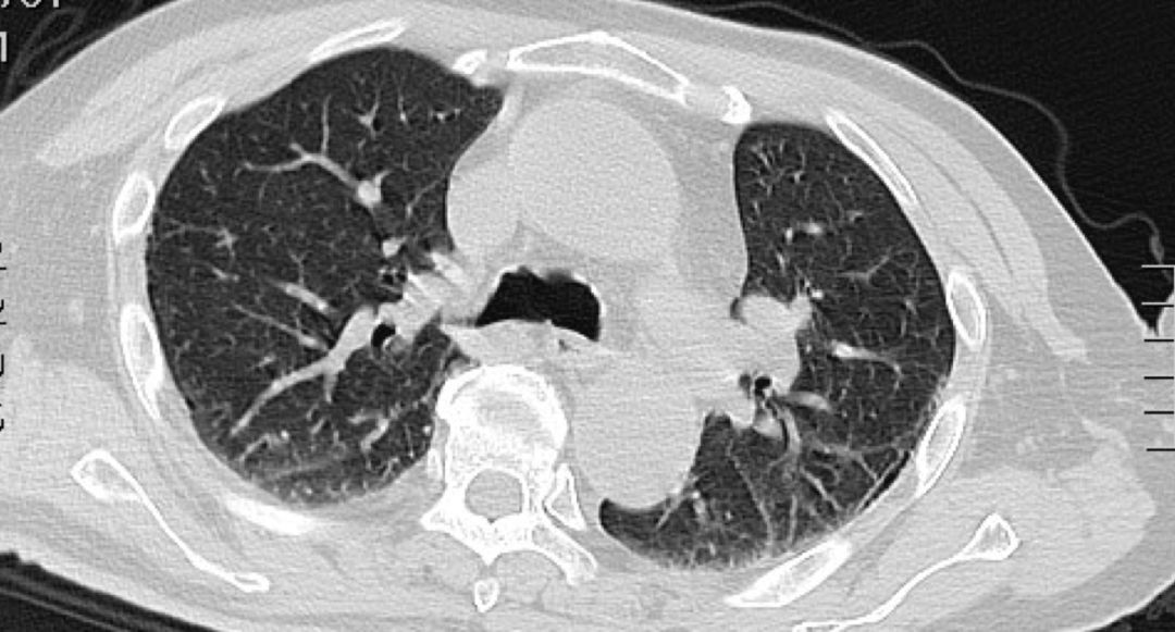
血Na133mmol/l,血常规:WBC 13.34*10^9/L,N% 91.3%,Hb 105.0g/L,PLT 237.0*10^9/L;CRP:15mg/L;心梗三项:高敏肌钙蛋白:0.016ng/ml↑,余正常;降钙素原:0.738ng/ml;心电图:1.窦性心律 2.T波改变(I、aVL、II、III、aVF、V4、V5、V6倒置)。 腹部CT(-),胸部CT如下。



该患者疾病诊断和病因究竟是什么?肺部感染吗?但患者肺部影像又没有看到显著感染征象,临床表现也不符合肺部感染,故肺部感染诊断不成立……患者高热、意识障碍伴有神经系统体征,诊断首先考虑中枢神经系统感染可能。


那么,既然已经考虑患者颅内感染,感染病原体又是什么?该如何启动抗感染治疗?必须尽快明确病原学诊断,这也是实现精准治疗和改善患者预后的首要因素。


?

肯定要做常规病原微生物培养,但需要一段时间,患者又情况危急,怎么办?

 

即刻启动经验性抗感染治疗和相关检查,颅脑CT、MRI和腰穿立即完成,可是脑脊液标本究竟该如何送检才可以实现病原学的快速精准诊断?常规病原微生物培养是肯定要进行的一项检查,但培养结果出来一般至少需要3天时间;患者病情危急,同步送检脑脊液送检病原微生物二代基因测序(NGS)。48小时后,NGS结果提示链球菌属(巴黎链球菌和巴氏链球菌)病原体感染。然而,3天后脑脊液培养结果显示阴性。给予针对链球菌属抗感染药物,治疗3天后患者神志逐渐转清,临床指标改善,一周后复查脑脊液转清,化验指标显著改善,病情稳定好转。

 

脑脊液NGS向传统病原微生物培养检测技术宣战,并占领了颅内感染「病原微生物精准诊断战场高地」。

 

病例 2


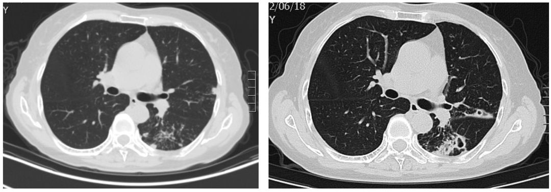
患者女性,66岁,反复咳嗽咳痰近3年。患者近3年来,多次查血沉基本正常,结核抗体阴性,结核杆菌T细胞检测(-),痰x-pert(-)。曾辗转多家医院就诊,均考虑肺结核,拟行抗结核治疗,患者拒绝接受肺结核诊断和抗痨治疗,症状时轻时重,症状重时就自行口服抗生素治疗。病因究竟是什么?是结核感染吗?该如何确诊?肺部CT如下:


左图:患病之初;右图:患病2年7月后

 

面对病人诉求,我们必须即刻开启病原学精准诊断之路。传统的痰检病原体检测是必须的,同时进行气管镜检查,观察肺内各支气管情况,肺泡灌洗获取下呼吸道标本,进行病原微生物二代基因测序。


肺泡灌洗液NGS结果

非结核分枝杆菌(NTM)(海鱼分枝杆菌)

 

NGS再一次成功挑战长期困惑临床医生的非结核分枝杆菌非(NTM-PD)诊断,它如同穿过高高树林的清晨朝阳,在困难病原体诊断方面透射出光芒


感染性疾病一直以来威胁着人类健康,病原体感染的复杂多样,新发病原体不断涌现,细菌耐药形式严峻,传统的病原微生物检测技术诊断敏感性特异性受限,诊断结果相对滞后,很多时候难以获得病原微生物阳性诊断……



快速精准诊断感染病原体是当今亟待解决的临床问题,「感染性疾病病因诊断」开始面临巨大挑战。

 

传统的病原微生物学诊断手段已经不能完全满足临床需要?

 

临床宏基因组测序是一种对临床样本中所有核酸进行测序,然后从中寻找可能病原体的方法。病原微生物宏基因组学二代测序(next generation sequencing, NGS),在尽可能保证样本中所有核酸都被无差别提取出来前提下,具有快速获得病原体种类甚至耐药信息的能力,可覆盖细菌、真菌、病毒、寄生虫等主要感染病原体,让感染性疾病的诊断迈向更为广阔空间,也为疑难危重感染快速精准诊断提供了新希望。


10余年前,至少半数以上的脑炎病例无法获得病因诊断,而被称为「最常见的脑炎是病因不明的脑炎」。作为全新的病原学诊断技术,NGS与宏基因组技术为包括中枢神经系统内的各种感染性疾病提供了精准医学的途径。首例脑脊液二代测序报道发表于2014年,之后相继有个案报道,都取得了令人欣喜的临床诊治结果。目前NGS在中枢神经系统感染病因诊断方面仍热火朝天的进行着更多的临床实践积累和研究探索。本例患者在脑脊液病原微生物培养阴性的条件下,依然获得了精准诊断,为疾病精准治疗提供了有力的依据。

 


非结核分枝杆菌非(NTM-PD)的发病率和患病率与日俱增,但是其精准诊断和鉴别诊断一直困扰着临床医师。传统的病原微生物培养技术,面临着培养周期长,敏感性和特异性欠佳之不足。2017年英国胸科协会(BTS)关于NTM管理指南中指出,不应使用口咽拭子培养或血清学检测来诊断 NTM 肺部感染(证据等级 D 级),尚无充分证据推荐常规使用血清学测试来诊断和监测 NTM 肺病患者(证据等级 D 级),皮肤试验和干扰素γ释放试验不应用于疑似 NTM 肺病患者的诊断评估(证据等级 D 级),所有的 NTM 呼吸道样本应通过可靠的分子或质谱技术检测,分离至少达到菌株水平(证据等级 B 级)。可见可靠地检测技术在NTM疾病诊治中占有非常重要的地位,精准医学时代的到来,为临床上这些诊治困难的感染性疾病带来了新曙光。

 

科技信息高速发展的今天,技术的进步势不可挡,传统的病原微生物学诊断手段已经不能完全满足临床需要。NGS等非培养式的快速精准检测技术,尽管会面临结果判读、标本中人类基因组干扰等各种困难,但已开始悄悄地改变着我们的临床诊治过程,向我们传统微生物学检测手段发出了无声宣战……



作者介绍


李强

教授、主任医师,博士生导师,上海同济大学附属东方医院呼吸与危重症医学中心主任,肺部肿瘤临床诊疗中心主任,大内科及内科教研室主任,世界支气管病及介入肺脏病学会理事;中国医师协会呼吸医师分会介入呼吸病学工作委员会主任委员;中华医学会呼吸病分会介入呼吸病学组副组长 等。


刘庆华

复旦大学医学博士,同济大学附属东方医院呼吸科副主任医师,美国约翰.霍普金斯医院访问学者。主要从事肺部感染性疾病精准诊治和肺癌等呼吸内镜介入诊治工作。兼任中华医学会呼吸病学分会青年委员、中华医学会呼吸病学分会感染学组委员、中国医师协会内镜医师分会呼吸内镜专委会委员等职务。


吴晓东

医学博士,上海市同济大学附属东方医院主治医师。


华晶

上海同济大学附属东方医院主治医师,主要从事呼吸危重医学。


声明:
1、凡本网注明“来源:小桔灯网”的所有作品,均为本网合法拥有版权或有权使用的作品,转载需联系授权。
2、凡本网注明“来源:XXX(非小桔灯网)”的作品,均转载自其它媒体,转载目的在于传递更多信息,并不代表本网赞同其观点和对其真实性负责。其版权归原作者所有,如有侵权请联系删除。
3、所有再转载者需自行获得原作者授权并注明来源。

最新评论

关闭

官方推荐 上一条 /3 下一条

客服中心 搜索 洽谈合作
返回顶部