立即注册找回密码

QQ登录

只需一步,快速开始

微信登录

微信扫一扫,快速登录

搜索
小桔灯网 门户 资讯中心 检验前沿 查看内容

超敏感“液体活检”或可早期探查实体肿瘤

2014-4-27 17:14| 编辑: 小桔灯网| 查看: 1489| 评论: 0|来源: 医学界

摘要: 世界卫生组织的最新数据显示,截止2020年,全球的癌症发病率将增长50%,即每年将新增1500万癌症患者。因此,早期检测、早期诊断一直是肿瘤学界亟需解决的重要课题。美国斯坦福大学Maximilian Diehn教授等在4月6日在 ...
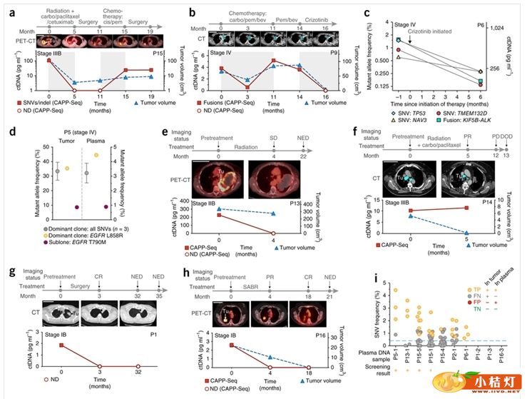
世界卫生组织的最新数据显示,截止2020年,全球的癌症发病率将增长50%,即每年将新增1500万癌症患者。因此,早期检测、早期诊断一直是肿瘤学界亟需解决的重要课题。美国斯坦福大学Maximilian Diehn教授等在4月6日在线发表于《Nature Medcine》杂志的文章中指出,对患者的血样标本行超敏感方法检测并定量分析循环肿瘤DNA(ctDNA)不仅可以诊断某些类型实体肿瘤,而且能够监测治疗反应以及探查微小残留病灶、靶向治疗耐药突变,未来可能成为优选的的无创肿瘤筛查方法。

  可评估肿瘤负担的ctDNA被某些学者赞誉为“液体活检”,但目前常规ctDNA检测技术的敏感性无法满足临床实际需求,Diehn教授及其同事研发出了一种可克服两大常见检测弊端的超敏感ctDNA检测方法--癌症个体化深度测序分析(CAPP-Seq)。首先,该项技术可以极其敏感地探测到血液的微量ctDNA水平,即具超低检测限值。其次,它适用于绝大多数肿瘤患者,成本合理。从技术层面讲,CAPP-Seq可实现对感兴趣癌症患者现存突变基因组的小部分测序。

  该研究探旨在探讨CAPP-Seq检测方法应用于早期、晚期非小细胞癌患者的临床实用价值。综合分析发现:全部Ⅱ~Ⅳ期、半数Ⅰ期非小细胞肺癌患者均可探及ctDNA,特异性达96%的突变等位基因分数下降至约0.02%;绝对ctDNA水平与肿瘤体积相关,且有助于临床医生区别个体残余病灶、治疗相关影像学改变。同时,应用CAPP-Seq技术检测ctDNA还凸显预测潜力:1例接受放化疗的ⅢB期非小细胞肺癌患者,随访期间影像学检查显示肿瘤接近完全缓解,但治疗后患者ctDNA水平呈现轻度升高,提示隐匿微小病灶进展可能;7个月后,临床证实出现病情恶化,该患者最终死亡。


“如果可以检测肿瘤进展、识别难治性患者,临床医生就能够适时增补或调整针对性治疗方案。对于外科手术或放疗后患者,我们或可通过CAPP-Seq技术检测ctDNA水平,进而早期筛查出可从化疗、免疫治疗等额外治疗获益的亚组人群。”该收益也可能推广至非小细胞肺癌之外的其他实体肿瘤,而且Diehn教授及其同事正在设计验证CAPP-Seq技术检测ctDNA水平能否改善患者预后、降低医疗费用的临床试验。

  对于该项超敏感ctDNA检测技术,各方所持观点不同。美国约翰·霍普金斯大学西德尼·基梅尔肿瘤综合中心Luis Diaz教授评价认为,这是一项非常有意义的工作,它进一步证实ctDNA具有实体肿瘤筛查价值。虽然该技术稍显复杂,但仍较基因测序简便,且随技术逐渐完善而应用便捷性可得到大幅提升,因此CAPP-Seq技术极具临床应用前景。Wistar研究所癌症研究中心基础医学部副主任Frank J. Rauscher Ⅲ则表示,“该技术尚存在缺陷,临床医生据此进行或变更临床决策为时尚早,现阶段蛋白标志物仍具有较高特异性、检测便宜性和定量分析效力。”

声明:
1、凡本网注明“来源:小桔灯网”的所有作品,均为本网合法拥有版权或有权使用的作品,转载需联系授权。
2、凡本网注明“来源:XXX(非小桔灯网)”的作品,均转载自其它媒体,转载目的在于传递更多信息,并不代表本网赞同其观点和对其真实性负责。其版权归原作者所有,如有侵权请联系删除。
3、所有再转载者需自行获得原作者授权并注明来源。
发表评论

最新评论

关闭

官方推荐 上一条 /3 下一条

客服中心 搜索 洽谈合作
返回顶部